Pineview Dental
Nathaniel Fogel, DDS

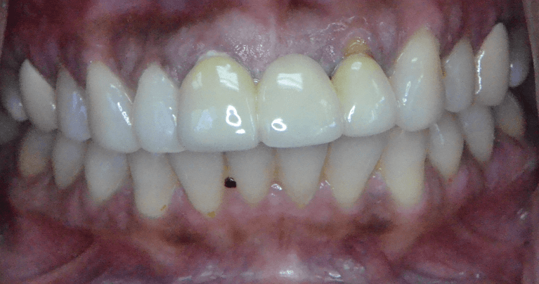
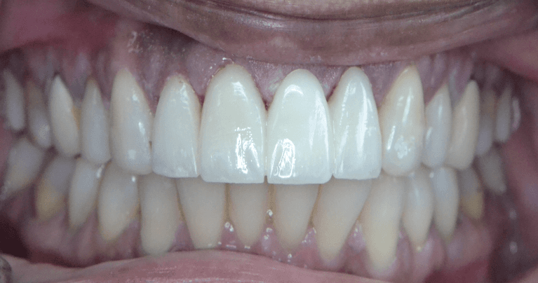
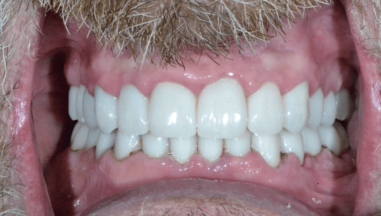
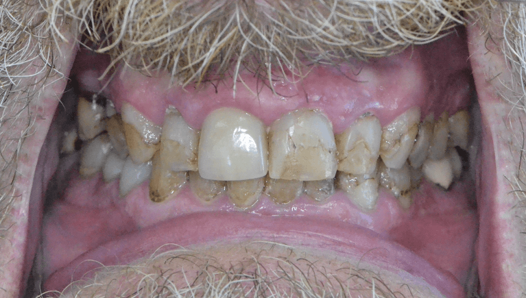
Smile Gallery: Dental Crowns and Bridges

Do you want to improve your smile but aren't sure where to start? Browse through our gallery of before and after photos to see what's possible, then give us a call to schedule an appointment to get started!

Ready to book an appointment?
Dr. Fogel is a true professional and very funny, while maintaining high standards.

Pineview dental is outstanding. I would highly recommend the professionals here as me and my family have loved their atmosphere for the past 2 years since moving from DC. They do incredible work and they don't keep you waiting like so many other offices. Dr. Fogel is a true professional and very funny, while maintaining high standards.
-Ryan
 

If you have difficulty using our website, please email us or call us at (410) 730-3311
View the ADA Accessibility Statement