Skip to main content
Dental Implants
Permanent Tooth Replacement

Dental implants mimic a natural tooth so you can eat, speak, and smile confidently.

Dental Implants | Dentist
Complete Your Smile with Dental Implants
Book a Consultation

Dental Implants

Tooth extraction chair at Pineview Dental in Columbia, MDThe simple act of biting into an apple or grinning for a family photo shouldn't make you think twice. Yet for those with missing teeth, these everyday moments often become complicated calculations of what to avoid and how to hide. At Pineview Dental, we're changing that equation with dental implants that restore oral health and the confidence to smile freely.

How Does a Dental Implant Work?

An implant is a tiny titanium post placed in the jaw where the tooth used to be. Over several months, bone and tissue grow around the implant, which will eventually anchor the replacement tooth or teeth.

This healing process is called osseointegration. Once it’s complete, we attach an abutment piece that secures the restoration (crown, bridge, or denture) to the implant post. Once we complete the process, you can chew all your favorite foods without worry and smile confidently again.

Benefits of Dental Implants

If you're tired of removable dentures that slip and shift or want a longer-term tooth replacement, dental implants are an option with numerous benefits:

High Long-Term Success Rate
In the hands of an experienced dentist, dental implants are one of the most predictable dental procedures available, with a proven success rate of over 95 percent.
Long-Lasting Tooth Replacement
Unlike bridges or dentures that may need replacement every 5–10 years, dental implants can last a lifetime with proper care, making them a great investment in your future smile.
Replace One or Multiple Teeth
Whether it's a single tooth or full-mouth restoration, implants offer versatile solutions. A single implant can support one crown, while multiple implants can secure a bridge or full dentures.
Secure and Comfortable Function
Say goodbye to shifting, clicking, or uncomfortable dentures. Implants stay firmly in place, allowing you to speak clearly and eat confidently without worrying about embarrassing slippage.
Natural-Looking Appearance
The restorations we attach to implants are crafted to match your existing teeth in color, shape, and size. Most people won't be able to distinguish your implants from your natural teeth.
Maintain Facial Structure
Implants prevent the bone loss that occurs when teeth are missing, preserving your facial structure and preventing the sunken appearance that often accompanies long-term tooth loss.

Who Is a Good Dental Implant Candidate?

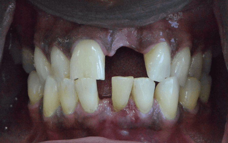
image of a dental implant in columbia mdIdeal candidates for dental implants have:

  • Good general and oral health
  • Sufficient jawbone density to support the implant
  • Healthy gum tissue free from periodontal disease
  • A commitment to excellent oral hygiene and regular dental visits

Some health conditions may affect candidacy, including uncontrolled diabetes, certain autoimmune disorders, or ongoing cancer treatments. Additionally, smoking can significantly reduce implant success, so we strongly encourage patients to quit before proceeding with treatment.

Bone Grafting If You've Been Told "No" Before

Don't lose hope if you've been told you're not a candidate due to bone loss. Dr. Fogel can discuss bone grafting procedures that can build up your jawbone to create a stable foundation for implants in the future.

Is a Dental Implant Right for You?

Ready to learn if dental implants could restore your smile and confidence? Call Pineview Dental at (410) 730-3311 to schedule a consultation with our Columbia, MD, dentist. Dr. Fogel will evaluate your oral health, discuss your goals, and create a personalized treatment plan that fits your needs and budget.

Dental Implants Technology

3-D Cone Beam Imaging (CBCT) technology at Pineview Dental in Columbia, MD

3-D Cone Beam Imaging (CBCT)

This advanced imaging technology captures detailed 3-D scans of teeth, bone structure, nerve pathways, and soft tissues with a quick scan. Dr. Fogel uses these highly detailed images for precise diagnosis and treatment planning, particularly for dental implant placement, complex extractions, root canal therapy, and evaluating TMJ disorders.

For patients, this means more accurate diagnosis, shorter treatment times, and better outcomes from procedures that rely on detailed anatomical information.

Frequently Asked Questions

Patient ready to have dental implants at Pineview Dental in Columbia, MDThe dental implant process at Pineview Dental involves several steps and typically takes several months from start to finish. Here’s what you can expect:

  1. Consultation and Planning — The implant process begins with a comprehensive evaluation using advanced digital imaging. Dr. Fogel assesses your oral health and bone structure and discusses your goals to create a personalized treatment plan.
  2. Preparatory Procedures — Some patients require preliminary treatments like tooth extraction or bone grafting before implant placement.
  3. Implant Surgery — Dr. Fogel precisely positions the titanium implant post into your jawbone using meticulous surgical techniques and the highest quality materials.
  4. Healing Period — Over the next 3–6 months, your jawbone grows around the implant (osseointegration). Dr. Fogel monitors your progress during brief checkup appointments.
  5. Abutment Placement — Once healing is complete, a connector piece called an abutment is attached to the implant, followed by a short healing period of about two weeks.
  6. Custom Restoration — Using precise digital impressions, Dr. Fogel works with a trusted custom dental lab to create a dental crown that matches your natural teeth in color, shape, and size.
  7. Final Crown Placement — Your custom restoration is attached to the abutment with careful adjustments to ensure proper fit and bite alignment.

Ready to Begin Your Implant Journey?

Call our Columbia, MD, dental office at (410) 730-3311 to schedule your consultation with Dr. Fogel. Our combination of clinical excellence and patient-centered care makes the implant process comfortable and successful for patients throughout Howard County.

Testimonial

Dr. Fogel is a true professional and very funny, while maintaining high standards.

Pineview dental is outstanding. I would highly recommend the professionals here as me and my family have loved their atmosphere for the past 2 years since moving from DC. They do incredible work and they don't keep you waiting like so many other offices. Dr. Fogel is a true professional and very funny, while maintaining high standards.
-Ryan
 

See More Testimonials
Schedule a Dental Implant Consultation with Us