Pineview Dental
Nathaniel Fogel, DDS
Dental Crowns and Bridges
Restore Your Healthy Smile

Our custom crowns and bridges look so natural that no one will know you've had any work done!

Dental Crowns and Bridges | Dentist

We Warmly Welcome New Patients to Our Practice

Start Today

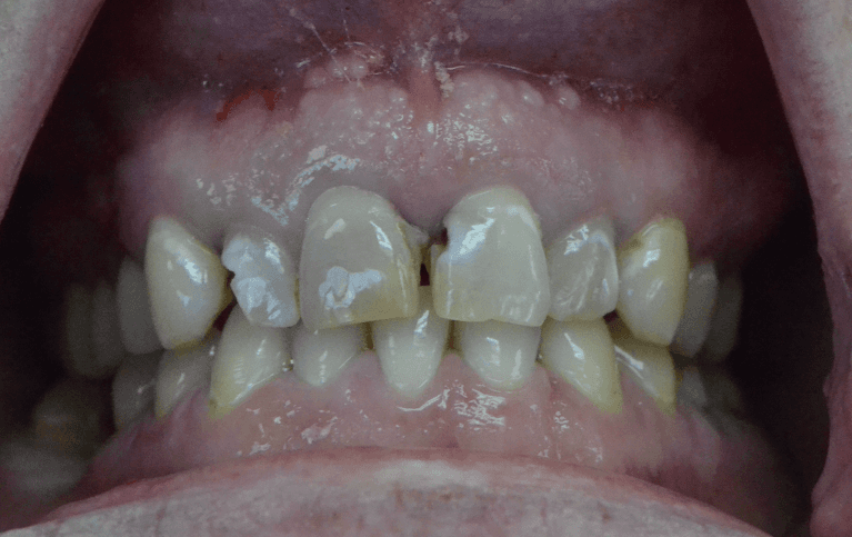
Dental Crowns and Bridges in Columbia, MD

Tooth extraction at Pineview Dental in Columbia, MDLiving with damaged or missing teeth means adjusting daily habits, experiencing ongoing discomfort, and feeling self-conscious about your appearance. At Pineview Dental, we custom-craft dental crowns and bridges that look natural and fit perfectly. Our dentists will help you explore options and provide honest recommendations for your long-term smile goals.

What Is a Dental Crown?

A dental crown is a custom-made "cap" that covers the entire tooth from the gumline up. We craft our durable crowns from porcelain or zirconia, materials that mimic the translucent quality of natural tooth enamel. The result is a stronger tooth that blends seamlessly with your smile.

When We Recommend a Dental Crown

Situations where Dr. Fogel may suggest a crown include:

  • Supporting a tooth weakened by extensive decay or large fillings
  • Strengthening a cracked or fractured tooth
  • Protecting a tooth after root canal therapy 
  • Improving the appearance of a severely discolored or misshapen tooth
  • Anchoring a dental bridge to replace missing teeth
  • Restoring a dental implant’s function and appearance

What's Involved with Getting a Dental Crown?

dental bridge x-ray in columbia mdThe process for getting a dental crown typically takes two appointments, starting with a thorough exam. Our dentist takes digital x-rays to evaluate the situation, explain how a crown can help, and discuss treatment options.

Next, the dentist carefully reshapes the tooth to receive the crown and takes comfortable digital impressions for a perfect fit. You’ll wear a temporary crown while a custom dental lab prepares your final restoration. In about two weeks, you'll return to our office, and we'll adjust the crown as needed and cement it securely in place. 

How Does a Dental Bridge Work?

If you're missing one or two teeth in a row, a dental bridge can close the gap in your smile. This restoration consists of an artificial tooth called a pontic secured by dental crowns placed on the teeth on either side of the space.

Dental Crowns and Bridges Technology

Digital Impressions technology at Pineview Dental in Columbia, MD

Digital Impressions

This innovative technology replaces traditional putty impressions with a small, comfortable scanner that captures precise 3-D digital models of teeth and gums. Dr. Fogel uses these highly accurate digital impressions for designing crowns, bridges, veneers, clear aligners, and other custom restorations.

The scanner quickly captures thousands of images to create a detailed virtual model that can be immediately viewed and adjusted. For you, this means no more uncomfortable, gag-inducing putty impressions, shorter appointment times, more accurate fitting restorations, and reduced wait times for your final dental work, as digital files can be sent instantly to the dental laboratory.

Frequently Asked Questions

With proper care, dental crowns can last 15 years or longer. At Pineview Dental, Dr. Fogel selects high-quality materials that balance durability with a natural appearance, ensuring your restoration functions well and looks beautiful.

Several factors influence a crown's lifespan:

  • Quality Materials Matter — Today's ceramic and zirconia crowns offer excellent strength while mimicking the translucency of natural teeth. We use digital technology to ensure precise fit and proper bite alignment, significantly extending a crown's lifespan.
  • Daily Care Makes a Difference — Crowns don't decay, but the tooth underneath can. Maintain excellent oral hygiene with twice-daily brushing and flossing, paying special attention to the crown's margins where it meets your natural tooth.
  • Regular Checkups Are Essential — During your biannual visits with our dentist in Columbia, MD, Dr. Fogel will check your crown for signs of wear or damage. Catching minor issues early often prevents the need for replacement.
  • Avoid Habits That Damage Crowns — Protect your investment by avoiding using your teeth as tools, chewing ice or hard candies, and wearing a nightguard if you grind your teeth during sleep.

If you have questions about dental crowns or want to schedule an evaluation, call Pineview Dental at (410) 730-3311. We serve patients throughout Howard County, including Columbia, Ellicott City, and surrounding communities.

Why Choose a Dental Bridge?

dentist in three centre parkA well-designed bridge plays several important roles:

  • Prevents remaining teeth from shifting out of position
  • Maintains facial appearance to prevent a sunken appearance
  • Restores proper chewing function and speech

Like crowns, bridges are crafted from natural-looking materials that blend perfectly with surrounding teeth.

Is a Crown or Bridge Right for You?

Call our dentist in Columbia today to schedule a consultation and see if a crown or bridge is right for you. We proudly serve patients throughout Howard County, including Columbia, Ellicott City, and surrounding communities.

Testimonial

Dr. Fogel is a true professional and very funny, while maintaining high standards.

Pineview dental is outstanding. I would highly recommend the professionals here as me and my family have loved their atmosphere for the past 2 years since moving from DC. They do incredible work and they don't keep you waiting like so many other offices. Dr. Fogel is a true professional and very funny, while maintaining high standards.
-Ryan
 

See More Testimonials

BLOGS

Dental Crowns vs. Fillings: How to Know Which Is Right for You

September 27, 2025

When it comes to repairing a tooth, your dentist might recommend a filling or a dental crown, but how do you know which one is the better choice? At Pineview Dental, we believe understanding your options helps you feel confident about your smile and your treatment.

What Is a Filling?

A dental filling is one of the most common treatments in dentistry. It’s typically used to repair a small to medium-sized cavity caused by tooth decay. The decayed portion of the tooth is removed, and the area is filled with a tooth-colored ...

View More

Are You Ready to Book Your Next Dental Visit?

If you have difficulty using our website, please email us or call us at (410) 730-3311
View the ADA Accessibility Statement